葛西KT矯正歯科|江戸川区・葛西駅徒歩4分の矯正歯科治療専門の歯科医院

葛西KT強制歯科

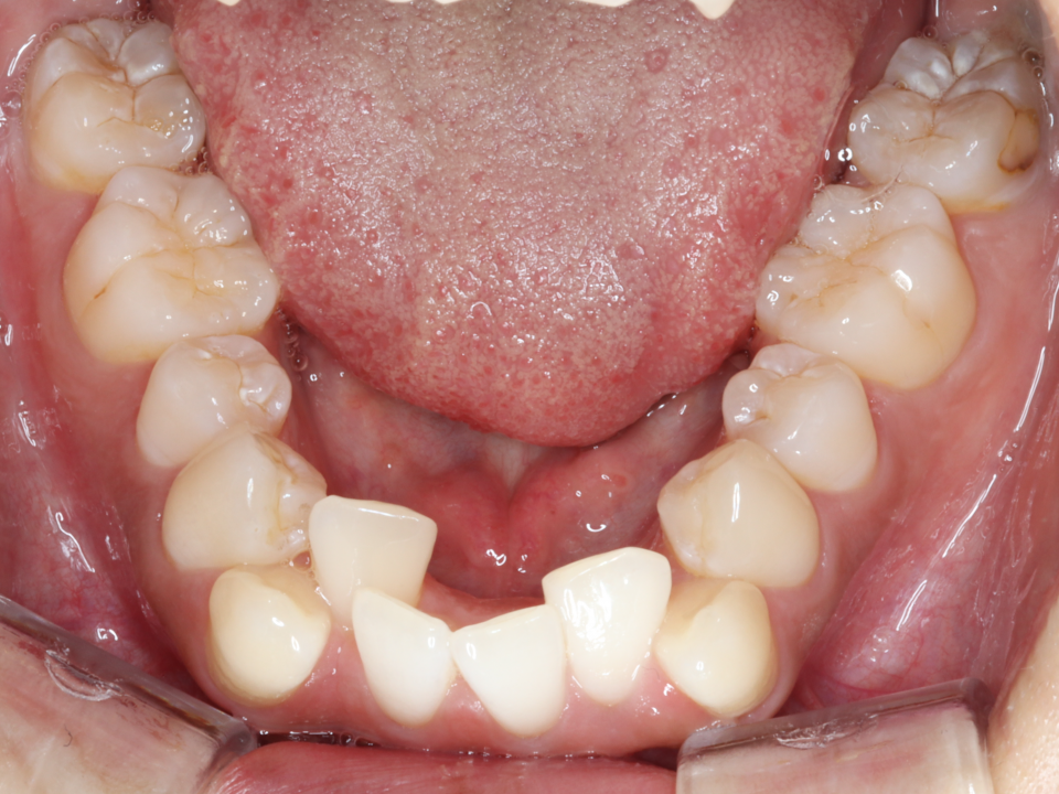
20代女性 下顎前突・叢生をワイヤーで治療

Before

After

治療テーマ 下顎前突・叢生をワイヤーで治療(4⏊4・4⏉4と過剰歯を抜歯)
患者様の年齢/性別 20代女性
矯正治療期間 1年10か月
治療費用 982,000(税込み)

当院のWEBサイト運営方針について

葛西KT矯正歯科では、当グループ(医療法人社団佑健会)在籍の歯科医師の監修のもと、
WEBサイトへの
情報掲載を行なっております。

医療広告ガイドラインラインへの対応
プライバシーポリシー

無料矯正カウンセリング
ご予約・ご相談はこちら

マウスピース型矯正/ワイヤー矯正
/成人矯正/小児矯正/部分矯正

歯科矯正専門歯科として、さまざまな矯正治療に対応しております。
歯の状態やご希望の合わせて適した治療法をご提案させていただきます。

TOPに戻る TOPに戻る