
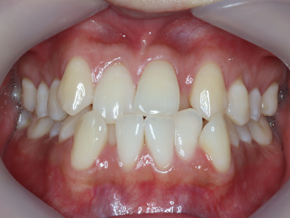
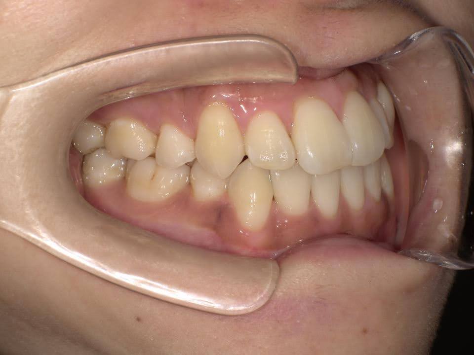
表側ワイヤー矯正
当院のWEBサイト運営方針について
葛西KT矯正歯科では、当グループ(医療法人社団佑健会)在籍の歯科医師の監修のもと、
WEBサイトへの
情報掲載を行なっております。
医療広告ガイドラインラインへの対応
プライバシーポリシー
葛西KT矯正歯科では、当グループ(医療法人社団佑健会)在籍の歯科医師の監修のもと、
WEBサイトへの
情報掲載を行なっております。
医療広告ガイドラインラインへの対応
プライバシーポリシー